anna90
Μέλη-
Δημοσιεύσεις
577 -
Έγινε μέλος
-
Τελευταία επίσκεψη
-
Days Won
8
Τύπος Περιεχομένου
Προφίλ
Άρθρα
Φόρουμ
Ημερολόγιο
Όλες οι δημοσιεύσεις του/της anna90
-
Ποιες είμαστε μαζί!
anna90 απάντησε στο θέμα του/της Love32 topic στο Κατά τη διάρκεια της εγκυμοσύνης
Ναι θα το κοιταξω, απλά επειδή το έχω ξαναπαθει σε άκυρο χρονο εκτός εγκυμοσύνης, δεν το συνδέω με αυτό (να φοβηθώ δλδ ότι κάτι δεν πάει καλα). Αυτό που πεινάω, θα πω να φάω, ξεκινάω να τρώω και στη δεύτερη μπουκιά το παρατάω γιατί το στομάχι μου γυρνάει ανάποδα.....με εκνευρίζει!!! -
Ποιες είμαστε μαζί!
anna90 απάντησε στο θέμα του/της Love32 topic στο Κατά τη διάρκεια της εγκυμοσύνης
Εδώ κι εγώ!! Σήμερα μπήκα στην 8η εβδομάδα. 12 του μήνα έχω να πάω για τον δεύτερο υπέρηχο μου και μετά Αυχενική είπε η γιατρός. Από συμπτώματα, το στήθος πονάει πολύ κατά διαστήματα, το στομάχι μου ώρες ώρες είναι λες και έχω περάσει γαστρεντερίτιδα, όταν με πιάνει πείνα με πιάνει πολύ ξαφνικά και απότομα. Γενικά δεν έχω λιγουρες. Καποιες στιγμές έχω αποστροφή για φαγητό και για νερό ακόμα. Εργάζομαι από το σπιτι προς το παρόν και θα δω πως θα συνεχίσω....! Σήμερα νιώθω μια ενόχληση μέσα στο πιπι μου, το έχω ξαναπάει όμως και χωρίς να είμαι έγκυος οπότε δεν ανησυχώ πολυ. Λέω μήπως είναι από το καθισιο στην καρέκλα της κουζίνας για να βγάλω όλο το 8ωρο της δουλειάς.... -
Αυτό με τα κιλά, μεγάλο θέμα. Στον πρώτο υπέρηχο που πήγα να κανω και με ζύγισε ήμουν 87.5 (στα κιλα μου δλδ). Μου είπε να βάλω στο σύνολο της εγκυμοσύνης μου μόνο 8 κιλα, για το τόσα χρειάζεται. Όλα τα υπόλοιπα λέει θα είναι λίπος. Το πρώτο τρίμηνο λέει να μην βάλω γραμμάριο και μάλιστα αν μπορώ να χάσω κιολας!! Θα κλαψωωωωω!!!
-
Ο Γενάρης να μας φέρει θετικό τεστ στο χέρι! Να γεμίσει τη χρόνια με πολλά πολλά μωρά!
anna90 απάντησε στο θέμα του/της Noname topic στο Θέλω να γίνω μαμά
@Ευάγγελοςτ και @Starrr δεν έχω κανένα θέμα να με δει ενδοκολπικα, απλα ρώτησε ενημερωτικά για να ξέρω. Έχω κοιλίτσα...Δεν είμαι αδύνατη. Δεν μιλάω για 5-6 κιλα παραπάνω. Χαχαχαχχα!! Ειμαι 1.70 με 85 κιλά για να καταλάβετε. 😳😳😳 Ο,τι θελει η γιατρός, αρκεί να δούμε καλά το νινι μας!! -
Μακάρι και στο στο εύχομαι!!! Αλλά και ένα τεστ θα έδειχνε μια χαρά!!!!
-
Ο Γενάρης να μας φέρει θετικό τεστ στο χέρι! Να γεμίσει τη χρόνια με πολλά πολλά μωρά!
anna90 απάντησε στο θέμα του/της Noname topic στο Θέλω να γίνω μαμά
Κορίτσια μου καλησπέρα!! Μια ερώτηση-απορία έχω! Στον επόμενο μου υπέρηχο θα είμαι 9 εβδομάδων. Είμαι λίγο χοντρούλα! Η ερώτηση είναι η εξης: Ο υπέρηχος θα γίνει πάλι ενδοκολπικα ή από την κοιλια;; -
Ο Γενάρης να μας φέρει θετικό τεστ στο χέρι! Να γεμίσει τη χρόνια με πολλά πολλά μωρά!
anna90 απάντησε στο θέμα του/της Noname topic στο Θέλω να γίνω μαμά
Καλή χρονιά κορίτσια μου!!!! Υγεία, ευτυχία, ευλογία και ευημερία σε όλες!!!!! -
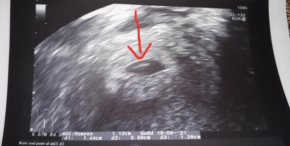
Έλα κορίτσι μου, εγώ έκανα τον πρώτο μου υπέρηχο 23 του μήνα!! Όλα πήγαν τέλεια. Η γιατρός είπε ότι όλα είναι πολύ καλά. Είδαμε την καρδούλα να χτυπάει, αλλά δεν καταφέραμε να την ακούσουμε!! Στις 12/1 που έχουμε τον δεύτερο υπέρηχο, θα την ακούσουμε, πρώτα ο Θεός!!! Σας βάζω φωτο, να καμαρωσετε το παιδί μου!! 🤣🤣🤣🤣
-
Ο Γενάρης να μας φέρει θετικό τεστ στο χέρι! Να γεμίσει τη χρόνια με πολλά πολλά μωρά!
anna90 απάντησε στο θέμα του/της Noname topic στο Θέλω να γίνω μαμά
Καλορίζικο το θεματακι μας!!!!! Πολλές φουσκωμένες κοιλιές εύχομαι!!!! -
Του Δεκέμβρη αρχιμηνιά να φέρει πολλά γερά μωρά,,, πίστη, αγάπη και ελπίδα ,,,μια αγκαλιά μεγάλη ασπίδα!!! 🤞🙏⛪👶❤️
anna90 απάντησε στο θέμα του/της condios topic στο Θέλω να γίνω μαμά
Χρόνια πολλά!!!! Καλά Χριστούγεννα κορίτσια μου!! Εύχομαι το 2021 να είναι ένα έτος με πολλά θετικά τεστ...όμορφες εγκυμοσύνες, πολλά μωρουδιστικα κλάματα, αγκαλιές, ζουζουνιες και αταξίες!!! Μα πάνω από όλα να είναι ένα έτος γεμάτο Υγεία, ένα έτος που θα μας δώσει απλόχερα ο,τι μας στέρησε το φετινό!! -
Μωράκια Αυγούστου 2021
anna90 απάντησε στο θέμα του/της Μαριλου1 topic στο Ποιές είμαστε στους ίδιους μήνες εγκυμοσύνης!
@Μαριλου1 @Avgoulla Καλημέρα!!! Εγώ χθες έκανα πρώτο υπέρηχο, 6 εβδομάδων είμαι. Είδαμε καρδούλα!!! ΠΗΤ έχω 16 με 19 Αυγουστου!! -
Του Δεκέμβρη αρχιμηνιά να φέρει πολλά γερά μωρά,,, πίστη, αγάπη και ελπίδα ,,,μια αγκαλιά μεγάλη ασπίδα!!! 🤞🙏⛪👶❤️
anna90 απάντησε στο θέμα του/της condios topic στο Θέλω να γίνω μαμά
Είδαμε το σπορακι μας!!!! Χτυπάει η καρδούλα, την είδαμε να χτυπάει!! Απλά δεν την ακούσαμε!! Όλα καλά, όλα τέλεια είπε η γιατρός!!! Επόμενο ραντεβού 12/1 !!!! -
Του Δεκέμβρη αρχιμηνιά να φέρει πολλά γερά μωρά,,, πίστη, αγάπη και ελπίδα ,,,μια αγκαλιά μεγάλη ασπίδα!!! 🤞🙏⛪👶❤️
anna90 απάντησε στο θέμα του/της condios topic στο Θέλω να γίνω μαμά
Συνέχισε επαφές και να μετράς φυσικα Για να διαπιστώσεις εάν και ποτέ έκανες ωορρηξία!!!! 🤞🤞🤞 Καλή επιτυχία εύχομαι!!! -
Του Δεκέμβρη αρχιμηνιά να φέρει πολλά γερά μωρά,,, πίστη, αγάπη και ελπίδα ,,,μια αγκαλιά μεγάλη ασπίδα!!! 🤞🙏⛪👶❤️
anna90 απάντησε στο θέμα του/της condios topic στο Θέλω να γίνω μαμά
-
Του Δεκέμβρη αρχιμηνιά να φέρει πολλά γερά μωρά,,, πίστη, αγάπη και ελπίδα ,,,μια αγκαλιά μεγάλη ασπίδα!!! 🤞🙏⛪👶❤️
anna90 απάντησε στο θέμα του/της condios topic στο Θέλω να γίνω μαμά
Ναι μόλις σχολάσω θα σας το βάλω φυσικα!! -
θα βρουμε το φυλο του μωρου; ελατε να γελασουμε!!
anna90 απάντησε στο θέμα του/της Μελούλα topic στο Κατά τη διάρκεια της εγκυμοσύνης
@Μελούλα καλησπέρα!!!! Εγώ έμαθα πριν 2 εβδομάδες ότι ειμαι έγκυος. Το πρώτο μας παιδάκι!! Τελευταία περίοδο 9/11 και επαφές 21/11 και 22/11. Κάνε τα μαγικά σου!!!!! 😂😂😂 -
Καλημέρα κορίτσια Καλό Σ/Κ να εχουμε! Εγώ ειμαι πολύ πολύ καλά. Είμαι μόλις 5w και 5days. Δεν μπορώ με τίποτα να συνηθίσω την συχνοουρια, ειδικά ο βράδυ. Αυτό που ξυπνάω 3, 4 ή 5 φορές με σκοτώνει!! Υποθέτω είναι προπόνηση για όταν έρθει το μωρό...;;; Χαχαχαχχα!! Το στήθος μου είναι με τις μέρες του, χθες και σήμερα με ενοχλεί λιγάκι. Βρε κορίτσια, μιας και πιάσατε το θέμα της δυσκοιλιότητας, εγώ που έτσι κι αλλιώς είχα θέμα με τη τουαλέτα από πριν, νομίζω ότι άρχισε να χειροτερεύει ήδη!! Τι θα κανω;; Οσο για τους καφεδες πινω 1 κουπα καφε την ημερα και αυτη μπορει να μην την πιω ολοκληρη!
-
Καλημέρα και από μένα!!! Εγώ είμαι μόλις στην 5η εβδομάδα και 3 μέρες και θα κάνω τον πρώτο μου υπέρηχο 23 του μήνα. Η γιατρός είπε ότι με βάση τελευταια περιοδο, έχω ΠΗΤ 16/8/2021, αλλά φυσικά θέλει πρώτα να πάω να με δει, να μετρήσει και να υπολογίσει. Ούτε εγώ νιώθω έγκυος, μόνο συχνοουρια έχω όλη μέρα αλλά και το βραδυ, με αποτέλεσμα να ξυπνάω 3 και 4 φορές μέσα στη νύχτα. Τίποτα άλλο....!!!
-
Του Δεκέμβρη αρχιμηνιά να φέρει πολλά γερά μωρά,,, πίστη, αγάπη και ελπίδα ,,,μια αγκαλιά μεγάλη ασπίδα!!! 🤞🙏⛪👶❤️
anna90 απάντησε στο θέμα του/της condios topic στο Θέλω να γίνω μαμά
Κρίμα ρε συ!!!!!! Δεν το ψάχνεις λίγο με αυτές τις χαζομάρες που σου έκανε η περιοδος;; Δες μήπως καμμία ορμόνη ξέφυγε....!! Εύχομαι να έρθουν τα καλύτερα σε επομενο κύκλο!! Υ.Γ έχει βγάλει γραμμή οριζοντια;;;;;; -
Του Δεκέμβρη αρχιμηνιά να φέρει πολλά γερά μωρά,,, πίστη, αγάπη και ελπίδα ,,,μια αγκαλιά μεγάλη ασπίδα!!! 🤞🙏⛪👶❤️
anna90 απάντησε στο θέμα του/της condios topic στο Θέλω να γίνω μαμά
Αααα....τόσο σπάνια θέλουν να μας κάνουν υπέρηχους δλδ;;;; Καλέ θα σκάσω εγώ!!!!! -
Του Δεκέμβρη αρχιμηνιά να φέρει πολλά γερά μωρά,,, πίστη, αγάπη και ελπίδα ,,,μια αγκαλιά μεγάλη ασπίδα!!! 🤞🙏⛪👶❤️
anna90 απάντησε στο θέμα του/της condios topic στο Θέλω να γίνω μαμά
.....Γιατί δεν παίρνεις ένα τεστ από φαρμακείο να κανεις;; -
Του Δεκέμβρη αρχιμηνιά να φέρει πολλά γερά μωρά,,, πίστη, αγάπη και ελπίδα ,,,μια αγκαλιά μεγάλη ασπίδα!!! 🤞🙏⛪👶❤️
anna90 απάντησε στο θέμα του/της condios topic στο Θέλω να γίνω μαμά
Καλέ, σχεδόν ξεχνάω ότι είναι έγκυος!! Γενικά προσέχω παααααααρα πολύ!!! Και Ο αντρουλης μου βασίλισσα με έχει!! Ο άτιμος ο υπέρηχος είναι μακριά ακόμα....ααααχχχχχ !!! Θα σκέφτομαι θετικά. Δεν ξέρω αν θέλω να έχω συμπτώματα ή οχι....χαχαχαχχα
